С Lipocell® от тялото се взема малко количество мастна тъкан, което след това се обработва по щадящ ...
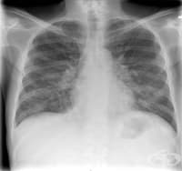
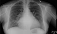
Прочети повечеСаркоидозата представлява мултисистемна грануломатозна болест с неизвестна етиология, която се харак...
Саркоидозата (болест на Besnier-Boeck-Schaumann) е хронично мултисистемно грануломатозно заболяване,...
Хетерогенността на клиничните прояви, различната еволюция на болестта, както и проблемното определян...
Въпреки значителния прогрес в опитите за класифициране на идиопатичните интерстициални пневмонии (ИИ...
Въведение и исторически преглед Саркоидозата (sarco плът, месо; eidos подобно; osis състояние) е мул...
Саркоидозата е многоорганна болест, поради което болните попадат при клиницисти от различни специалн...
В раздел "Научни публикации" във framar.bg можете да откриете различни научни статии от областта на медицината и фармацията, представени от специалисти - медици и фармацевти.
По-сериозното и профилирано съдържание на раздела се вписва в цялостната информационна структура на здравния портал.